Zoom Teeth Whitening Cost in Dubai
Noticing a decline in your self-esteem due to the stains...
Read More
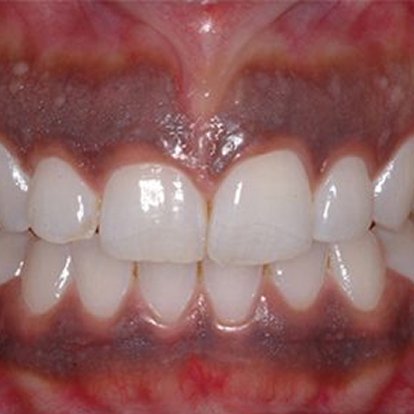
															Are dark, uneven gums making you hide your smile? You brush and floss, but that natural brown or black patchiness remains, leaving your smile looking less confident than you feel. At our Dental clinic, our Gum Depigmentation Dubai treatment erases these dark spots in just one visit. Using advanced laser technology, we reveal naturally pink, uniform gums so you can finally smile with your whole heart.
Gum depigmentation is a cosmetic dental procedure performed to remove or lighten natural dark brown or black spots on the gums. The treatment aims to create a more uniform, pink gum contour and enhance the overall appearance of the smile. It is a safe and effective solution for individuals who are self-conscious about genetically induced dark gums.
These are the steps that you will have to undergo for gum depigmentation at our Dental Clinic Dubai:
Our dentist examines your gums to confirm the pigmentation is natural (melanin-based) and not a symptom of an underlying condition. This is when you discuss your aesthetic goals, and the dentist explains the technique, expected results, and cost.
The treatment plan is finalized, outlining the specific areas to be treated (e.g., full arch or spot treatment). On the day of the procedure, local anesthesia is administered to the gums to ensure the process is completely pain-free. Your gums might be sore afterward, so eat beforehand.
The chosen method (most commonly a diode laser) is used to carefully remove the thin, superficial layer of gum tissue. The procedure typically takes 45 to 90 minutes, depending on the extent of the area being treated.
These are the instructions that you should follow:

        
        
        Gum depigmentation cost in Dubai starts from AED 2000 at our Dental clinic. This price is just the starting but we might offer you a seasonal discount, so contact us now to get the best rate for your treatment. The final price can also change depending on the treatment area, number of sessions required, and the dentist’s fee.
These are the benefits that you will be able to achieve from gum depigmentation:
We are the best dental clinic in Dubai with advanced technologies and expert dentists. They can help you achieve the results that you want with safe and effective treatments. We will properly monitor your condition and then, after a detailed analysis, we will recommend this treatment. You can also get other treatments, like same day dental implants from us.
We recommend you book an appointment now for Gum Depigmentation Dubai to achieve the flawless and beautiful smile that you have always desired.
Costs vary but typically range from AED 2000 to AED 2500 per arch, depending on the case complexity.
No, it is a safe cosmetic procedure when performed by a qualified professional using proper techniques.
Initial healing takes 1-2 weeks, with gums fully settling into their new pink color within 2-4 weeks.
The procedure itself is painless due to local anesthesia; post-procedure soreness is mild and manageable.
Yes, but they heal back pink and healthy, as the pigment-producing surface layer has been removed.
Results are typically long-lasting and often permanent, though some minor repigmentation can occur over many years.
Yes, but you must avoid the treated area gently for the first few days as instructed by your dentist.
No, it is considered an elective cosmetic procedure and is not typically covered by dental insurance.
Noticing a decline in your self-esteem due to the stains...
Read MoreQuick Facts Teeth Whitening Cost: 699-999 AED Factors Affecting Cost:...
Read MoreIt may take longer to show a positive outcome, but it lasts a lifetime with proper maintenance when achieved. All you need to do is wait with patience during the whole procedure and cooperate with your expert if you desire positive outcomes.
Address : Villa 1089, Al Manara Area Dubai - UAE
						+971 4373 9000 
info@royalclinicdubai.com					
Our distinctive methods and the skillset of our team have enabled us to improve rankings, traffic, and revenue for multiple businesses.Our distinctive methods and the skillset