Zoom Teeth Whitening Cost in Dubai
Noticing a decline in your self-esteem due to the stains...
Read More
															Aim: Teeth Alignment
Cost: 1000 AED – 3000 AED
Results: Transformation
Duration: 1 – 3 years
Maintenance: Adjustments
Retainers: Necessary
Age: Above 10
Our teeth make our smile unique and their appearance is quite visible in our personality. Some people suffer from different mal-positioned Teeth and jaw issues which can make them feel uncomfortable about their smile and can cause problems while chewing and eating.
Whether you are looking to correct misaligned or crooked teeth, enhance your smile, Teeth Braces in Dubai are a great dental device. They help treat teeth alignment issues by applying either metal or ceramic brackets to the teeth. These wires put pressure and move the teeth into their correct position. Read more to know how they work, procedure, cost , and more.
Teeth braces are orthodontic devices used to straighten misaligned teeth. They apply gentle pressure on the teeth, which helps them to move into their correct position. There are several types of braces; your customized type will be decided after a consultation with our skilled and qualified specialists. The treatment can last for 1-3 years based on the severity of the issue and the doctor’s recommendation.
There are several types of braces that we offer at our clinic. We will briefly explain each type below:
Traditional  | These are the conventional braces you get to see more often. They are commonly preferred for children and are noticeable.  | 
Cermaic  | They are transparent and used mostly by adults who don’t want their braces to be noticed.  | 
Lingual  | They are completely hidden from the outside view, as they are attached to the back of the teeth.  | 
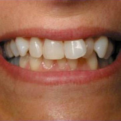
Explore the incredible transformation with our teeth braces – achieve a straighter, more confident smile.
See the before and after results of orthodontic treatment at Enfield Dental Clinic.

        
        
        It can help treat several dental deformities, including:
The following people are considered ideal for getting teeth braces:
Below are the benefits:
Here is an overall overview of the typical procedure of Teeth Braces Dubai:
Follow the following post-care instructions:
Dental braces Dubai cost ranges between 1000-3000 AED per tooth. The cost can vary among individuals and is influenced by certain factors such as the severity of the misalignment, type of braces, anesthesia, and other combined dental procedures such as Dental veneers.
Fill in the form below to book an appointment with our best specialists for teeth braces in Dubai. Enfield Dental Clinic is determined to enhance the health and comfort of its patients with the help of skilled experts and advanced technology.
The cost range between AED 1000 to AED 3000. It varies and can be influenced by the type of braces, the severity of the issue, and more.
You can get braces at any age. However, 10-16 is the ideal age for getting these dental devices.
Usually, it is advised to wear for 18 to 24 months. However, the timing may vary.
During the initial days, you may feel a slight discomfort, which will fade after some time.
In some cases, you may need tooth extraction to enhance alignment.
You should visit your specialist after every 4 to 8 weeks to monitor the progress.
Yes, you can; however, wear a mouthguard to protect the brackets and your mouth.
Initially, you might have trouble speaking some words, but you will adapt within a few days.
You should visit your orthodontist at once. Don’t try to fix it yourself.
Noticing a decline in your self-esteem due to the stains...
Read MoreQuick Facts Teeth Whitening Cost: 699-999 AED Factors Affecting Cost:...
Read MoreIt may take longer to show a positive outcome, but it lasts a lifetime with proper maintenance when achieved. All you need to do is wait with patience during the whole procedure and cooperate with your expert if you desire positive outcomes.
Address : Villa 1089, Al Manara Area Dubai - UAE
						+971 4373 9000 
info@royalclinicdubai.com					
Our distinctive methods and the skillset of our team have enabled us to improve rankings, traffic, and revenue for multiple businesses.Our distinctive methods and the skillset